口ゴボ矯正は“引っ込めすぎない”が正解|自然なフェイスラインを作る(実際の治療例で解説)

口元が前に出ている「口ゴボ(クチゴボ)」を改善したいと考える方は年々増えています。

しかし、口ゴボ矯正では「どこまで前歯を引っ込めるべきか」という治療ゴールが非常に重要です。実際には、前歯を下げすぎてしまい、頬ゴケや人中の変化などを気にされるケースもあります。

この記事では、口ゴボ治療で大切な「引っ込めすぎない」という考え方と、実際の症例をもとにした治療計画のポイントについて詳しく解説します。

口ゴボ治療で大切なのは「引っ込めすぎない」こと


口元が前に出ている、いわゆる「口ゴボ(クチゴボ)」を改善したいと希望される患者さんは、近年とても増えています。一方で、その治療ゴールについては、実は矯正専門医の間でも明確な共通ルールがあるわけではありません。

中には、前歯を引っ込めすぎてしまっている治療例も見受けられます。

前歯を下げすぎると、歯が内側に傾斜してしまい、唇や頬を適切に支えられなくなります。その結果、フェイスラインに悪影響を及ぼすことがあるため注意が必要です。

最近ではSNSを通じて、患者さん側からも

  • 頬ゴケ(正面から見たときに頬が痩せこけたように見える)

  • ほうれい線が目立つようになった

  • 人中(鼻の下から上唇までの距離)が長くなった気がする

といった声が発信されることも増えています。


口ゴボ治療を成功させるには「適切な引っ込み量」

このような問題を防ぐためには、その人にとってどれくらい前歯を引っ込めるのが適切なのかを考えて、治療計画を立てることが非常に重要です。

先ほど述べたように、「正しい口ゴボ治療のルール」は、現時点では矯正専門医の間でも明確に定まっていません。

そこで私たちオランジェ矯正歯科グループでは、過去の豊富な治療データをもとに、独自の方針で治療目標を設定しています。

具体的には、セファロレントゲン写真とポリゴン分析を用いて評価を行います。

セファロレントゲン写真上の重要なポイントに印をつけ、それらを結んでシンプルな顔の形(ポリゴン)を作成し、距離や角度を計測して平均値と比較する方法です。

もちろん、平均値に合わせれば必ず美しくなる、というわけではありません。

しかし、

  • 顔の中でどこにバランスの偏りがあるのか

  • どの要素が口ゴボの原因になっているのか

を客観的に評価するうえでは、非常に有効な分析方法だと考えています。

では、実際の治療例で説明します。


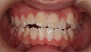
症例:口ゴボと八重歯を主訴に来院された女性

19歳の女性患者さんです。

スタート時の歯並び

初診時顔貌

スタート時の顔

初診時側貌

スタート時の横顔

  • 前歯が出ていて口が閉じにくい

  • 横顔が口ゴボに見える

  • 左上の八重歯が気になる

といったお悩みで来院されました。
(症例の解説に関してはプライバシー保護を考慮して写真の一部を隠しています。また掲載について患者の了解を得ています)

お顔を拝見すると、確かに横顔では口元がやや前に膨らみ、口も閉じにくそうな印象があります。

一方で、歯並びを詳しく確認すると、八重歯はあるものの、全体として大きなデコボコがあるわけではありませんでした。

実は、口ゴボ治療ではこのようなタイプこそ注意が必要です。

歯のデコボコ量がそれほど多くないにもかかわらず抜歯を行うと、引っ込み量が大きくなってしまい先ほど述べたような頬ゴケや人中、ほうれい線の問題が起こりやすくなります。

そのため、このケースでは特に慎重に治療計画を立てる必要がありました。


セファロ・ポリゴン分析から分かったこと

セファロレントゲン写真を撮影し、さらにポリゴン分析を行うと、いくつかの特徴が見えてきました。

ちなみに分析方法にも色んな種類があるのですが、今回は日本矯正歯科学会が臨床指導医や認定医・専門医の試験に採用しているタイプを使用しました。

レントゲン写真から解剖的に決まった点をポイントして線でつないだ画像がこのようなポリゴン(多角形)になります。標準的な黒い線からはみ出ている赤線の部分について計測します。

こちらがその計測表になります。

プロフィログラム

セファロレントゲンのポリゴン

分析値

分析値

注目すべきポイントは、黒い標準値の枠から大きくはみ出している赤丸の部分です。

この結果を分かりやすくまとめると、

1.骨格自体には大きな問題はないが、やや面長傾向がある
2.上の前歯が強く前に倒れており、上下前歯の位置は前に出すぎている

ということが分かりました。


このケースは「どのタイプの口ゴボ?」

以前のブログ(リンクはこちら口ゴボの原因と矯正治療| 梅田オランジェ歯科・矯正歯科)で、

口ゴボには大きく分けて次の4つのパターンがあると説明しました。

1.前歯唇側傾斜(前歯が前に傾いている)
2.上顎前突(上あごが大きい)
3.下顎後退(下あごが小さい)
4.ロングフェイス(面長ぎみな顔立ち)

今回のケースでは、①がメインで、④が少し混ざっているタイプと考えられます。

これは比較的治療しやすいケースです。一般的な口ゴボ治療と同じようにシンプルに前歯を引っ込めるだけで大丈夫です。ただし、面長を放置したまま前歯を引っ込めるとほうれい線が出やすいことがあるため、口ゴボ治療と同時に面長を少し改善する必要がありました。


治療方針と注意点

基本的な治療方針としては、小臼歯を4本抜歯し、口元を改善するというプランになります。

ただし、ここで重要な注意点があります。

  • 下の前歯を内側に倒しすぎないこと

  • 「しっかり引っ込める」ことよりも、自然に見える範囲でとどめることを重視しました。


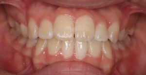
治療結果

終了時 の歯並び

終了時 の歯並び

終了時の顔

終了時の顔

終了時の横顔

終了時の横顔

初診時側貌

治療前との比較

治療後は、歯並びが綺麗になるとともに、口元が自然におさまり口を閉じやすくなりました。また、少し面長が短くなり、ほうれい線のない綺麗なフェイスラインを作ることが出来ました。

治療前は前歯に押されて鼻の付け根が埋まってしまい鼻が低く見えていましたが、本来の綺麗な鼻の形に戻りました。

正面から見たスマイルラインも、歯が主張しすぎることなく、かといって見えなさすぎることもなく、全体としてバランスの取れた印象になったと感じます。

人中が伸びたり、ほうれい線が出ることはありませんでした。(むしろ人中は少し短くなりました。)

ポリゴンデータからもバランスが改善していることが分かります。

ビフォーアフター

ビフォーアフター

「他のタイプの口ゴボ治療はどのようにするの?」「どんな理想のフェイスラインを目指せば良いか?」などについては、少し長くなってしまうため、また別のブログで詳しく解説したいと思います。


症例の概要

主訴:口元の突出感 八重歯
患者データ:19歳/女性/学生
診断名:上顎左側犬歯低位唇側転位を伴う上下顎前歯唇側傾斜 Angle ClassⅠ級症例
治療方法:上下顎両側第1小臼歯抜歯、マルチブラケット装置
治療期間(通院回数):2年5か月(28回)
治療費用:総額¥850,000(税抜)

リスクと副作用:歯根吸収、歯肉退縮、むし歯、歯肉炎、口腔粘膜の傷、歯の骨性癒着、補綴物の破損脱離、顎関節症

PAGE TOP